BITTE BEACHTEN: Pränatale Chromosomenanalysen aus Fruchtwasser oder Chorionzotten werden in unserem zytogenetischen Labor nicht mehr durchgeführt.
Bei zytogenetischen Untersuchungen werden die Chromosomen (Erbgutträger) aus bestimmten Körperzellen, in der Regel aus Blut, Bindegewebe, Fruchtwasser oder aus Chorionzotten, unter dem Lichtmikroskop bei ca. 1200facher Vergrößerung analysiert.
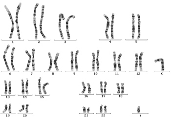
Untersuchungsziel ist die Analyse des Chromosomensatzes (Karyotyps) auf zahlenmäßige oder strukturelle Veränderungen. Regulär enthalten die Körperzellen des Menschen in ihrem Zellkern 46 Chromosomen, in denen sich der Hauptbestandteil der genetischen Information befindet. 44 dieser Chromosomen, genannt Autosomen, lassen sich für Mann und Frau gleichermaßen in 22 Paare anordnen. Das 23. Chromosomenpaar besteht aus den beiden Geschlechtschromosomen, den Gonosomen. Bei der Frau liegen die beiden X-Chromosomen, beim Mann ein X- und ein Y-Chromosom vor.

Der abgebildete Chromosomensatz zeigt einen nummerisch und strukturell unauffälligen, männlichen Karyotyp, der mit der Karyotypformel 46,XY beschrieben wird.
Eine postnatale zytogenetische Untersuchung auf das Vorliegen einer numerischen oder strukturellen Chromosomenaberration ist unter anderem indiziert bei:
- Verdacht auf eine syndromale Erkrankung, zum Beispiel Down-Syndrom
- klinischer Symptomatik unklarer Ursache (insbesondere psychomotorischen Entwicklungsstörungen, Autismus, Wachstumsstörung, kraniofazialen Dysmorphien, Organfehlbildungen)
- Gonadenfehlbildungen, Intersexualität oder Transsexualität
- Fertilitätsstörungen, unerfülltem Kinderwunsch oder nach habituellen Aborten bzw. Totgeburten
sowie zur Abklärung einer familiär bekannten Chromosomenanomalie bzw. bei positiver Familienanamnese für syndromale Erkrankungen oder mehrfache Aborte/Totgeburten unklarer Ursache.
Für weitere Fragen zur zytogenetischen Diagnostik (z.B. Rückfragen zu Bearbeitungszeiten, Probenmaterial etc.) stehen wir Ihnen sehr gerne zur Verfügung.
Sie können uns telefonisch über unsere Zentrale 0941- 94 6822-0 oder per email unter genetik@labor-staber.de erreichen.